DIGESTIVE SYSTEM

Digestion: the breakdown of large food particles.

Physical and chemical processes.

Digestive System = alimentary canal + accessory organs (teeth, tongue, various glands, liver)

Movement (Motility) in the Digestive System: Peristalsis and Segmentation

Digestive Processes

Digestive tract, or alimentary canal, is the site of the digestive process. Food is absorbed into the blood stream and lymphatic system. A continuous tract with specializations.

4 Layers are similar throughout the system.

Mouth (Oral Cavity)

Lips and cheeks. Hard and soft palates. Uvula. Palatine Tonsils (lymphatic)

Tongue: Manipulation of food bolus, taste, and speech.

Teeth: Mechanical tearing and grinding of food.

20 deciduous (milk or baby) teeth. 32 permanent teeth

Incisors, canines, premolars, molars.

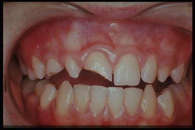
Pop Quiz: identify the chipped tooth. (Image (c) University of Sheffield - DERWeb Project)

Tooth Structure

Salivary glands: Parotid, Submandibular, and Sublingual Glands.

Produce saliva: water, mucus and enzymes.

Cleanses teeth, dissolves food, moistens food, and has amylase for starch digestion.

 

Pharynx & Esophagus: Muscular tubes

Pharynx is common pathway for food and air (see respiration chapter).

Esophagus: tube that carries food from pharynx to stomach.

Swallowing involves muscular contractions called peristalsis.

Esophagus pierces diaphragm at esophageal hiatus and enters stomach at cardiac orifice. Gastroesophageal "sphincter" (note a true sphincter, but arrangement of muscles acts in a similar fasion).

Hiatal hernia: stomach protrudes above diaphragm -- less pressure on sphincter and acidic gastric juice can flow back into esophagus. "Heartburn" or reflux esophagitis results.

Stomach

Internal folds - rugae. Don't confuse rugae with reggae!!

Digestive Functions of Stomach:

Chief cells produce pepsinogen (converted into pepsin - protein digestion).

Parietal cells: produce hydrochloric acid (HCl). Acidic environment required by stomach enzymes. Acidity also kills most bacteria.

Mucous cells - secrete protective mucus.

Digestive System Hormones: gastrin - stimulates HCl secretion.

Additional hormones or factors such as histamine, serotonin, somatostatin.

Small Intestine: tube extending from pyloric sphincter to ileocecal valve

Highly absorptive: huge surface area

Plicae circulares

Villi : Finger-like extensions

Villus Core w/lacteal

Microvilli - brush border. Brush border has many digestive enzymes.

Glands

In crypts of Lieberkuhn. Mucus, digestive enzymes, and some hormones.

Peyer's patches: lymphatic tissue found in the ilium. Graphic

Microanatomy of Intestine

Liver

Largest glandular organ in body.

Two main lobes (right and left) and two minor lobes (caudate and quadrate).

Lobules: Structural and functional units. Have hepatic cells arranged in plates.

Physiological Functions

 

Gallbladder

Muscular sac lined with mucosa.

Concentrates and stores bile from liver.

Bile is used for fat emulsification

Release of bile is under control of hormone cholecystokinin - stimulus is fat or digested protein in duodenum.

Gall Bladder Imaging

Gall Stones

Pancreas

Consists of head, body and tail. Endocrine and exocrine (pancreatic juice).

Exocrine cells form groups of cells called acini (acinar cells) which secrete digestive juices into the small intestine.

Key enzymes: released under hormonal control (secretin and cholecystokinin from duodenum).

Food Chemistry Review

 

Large Intestine or Colon

Consists of: Cecum with Vermiform appendix, Ascending colon, Transverse colon, Descending colon, Sigmoid colon, Rectum - Anal canal

Functions:

Removes water and salts (electrolytes) from chyme, forming feces. Bacteria provide some nutrients and vitamins (K and some B); produce gas as byproduct of digestion.

Defecation: stretch on rectal wall initiates reflex causing anal sphincters to relax. Internal anal sphincter consists of smooth muscle; external sphincter is skeletal muscle as is under more voluntary control.

Diarrhea: fluid feces. Can deplete body of water and electrolytes.

Constipation: too much fluid absorbed and stool becomes hard. Little short term effects except discomfort.

Diverticulosis

Hemorrhoids

 

Control of Digestive Functions

Stomach:

Gastric secretion has 3 phases

1) Cephalic: Reflex triggered by sight, aroma, taste or thought of food.

Vagus nerve - increases peristalsis and secretions

Conditioned reflex: Pavlov's famous experiment

Pop Quiz: Outline Homer's Salivary reflex!

 

2) Gastric: Stretch activates neural reflexes - stimulates gastric juice secretion. Chemical stimulation.

Gastrin released by stomach --> stimulates parietal cells to produce more HCl. Inhibited by extremely low pH (acidity), distention of duodenum

Historical Note: "The Man with a Hole in His Stomach"

3) Intestinal: Food in duodenum activates intestinal gastrin.

Chyme released into duodenum in short bursts

Small Intestine:

Slow peristalsis - affected by autonomic nervous system.

Presence of chyme and distention of duodenum trigger release of hormones which stimulate release of pancreatic juice and stimulates gall bladder contraction. Acid in duodenum stimulates release of bicarbonate rich (basic) pancreatic juice.

Gastroileal reflex: for chyme to move from small intestine to large intestine, ileocecal valve must open. Gastrin release increases motility of ileum and relaxes ileocecal sphincter.


Misc. Links

Fundamental Physiology and Anatomy of the Digestive System: Great Site!

Web Anatomy: Digestive System Online Quizzes

Digestive System Anatomy (short quiz)

Gastrolab: All things digestive (history, images, etc)

Your Digestive System and How It Works (from National Institutes of Health)

Digestive Diseases

Gastrointestinal Tract Pathology

Adhesions in small intestine

Barrett's Esophagus: Esophageal lining damaged from chronic acid reflux.

GI Health: Nice collection of endoscopic images.