URINARY SYSTEM

Functions

Urinary System: Consists of:

Urinary System Gross Anatomy Online Quiz

General Overview


 

Kidney

Housed in fibrous capsule (adipose & fascia surround kidneys): Histology

Sinus - area where ureter, nerves, and vessels collect

Outer renal cortex

Inner renal medulla

Pyramids (base--papilla)

Form lobes (8)

Columns in between pyramids

Kidney: Gross Anatomy

Kidney: Cross Section: with link to X-ray

Kidney Anatomy Online Quiz 1
Kidney Anatomy Online Quiz 2
Kidney Anatomy Online Quiz3

Kidney Anatomy (Lab Quiz1)
Kidney Anatomy (Lab Quiz2)
Kidney Anatomy (Quiz: Plastic Model)

Collection of nephrons -- About 1 million per kidney.

2 Types or Nephrons:

  1. cortical: short loops of Henle
  2. juxtamedullary: long loops of Henle -- more important for concentrating urine.

Nephrons

Glomerulus: tuft of capillaries ..Histology ... Graphic

Glomerular (Bowman's) Capsule... Graphic

Renal Corpuscle = Glomerulus and Glomerular Capsule. Histology.

Tubules: Proximal convoluted tubule, Loop of Henle (descending & ascending loops), Distal convoluted tubule

Collecting Duct: empties into renal pelvis

Juxtaglomerular Apparatus:

Nephron: Web Anatomy Online Quiz


 

Urine Formation

Great Overview Site on Kidney structure and function

Urine formation consists of 3 processes:

  1. Glomerular filtration
  2. Tubular reabsorption
  3. Tubular secretion

1) Glomerular Filtration

Filtration pressure

Net (effective) Filtration Pressure (NFP)

Glomerular Hydrostatic Pressure (CHP)

Glomerular Osmotic/Oncotic Pressure (GOP)

Capsular Hydrostatic Pressure (CHP)

NFP = GHP - (GOP + CHP) = 50 - (25 + 15) = 10 mm Hg

Maintaining blood pressure is important

Low blood pressure - less filtration pressure

High blood pressure - more filtration pressure

Arterioles leading to glomerulus can dilate and constrict.

Some autoregulation

 

Renin-angiotensin-aldosterone system

Low filtration flow --> macula densa cells sense slow flow or low sodium or chloride levels (low osmolarity) --> induce vasodilation. Vasoconstriction if opposite conditions exist.

Renin-angiotensin-aldosterone system. Angiotensin is a vaso-constrictor. Aldosterone leads to sodium retention.

Reduced stretch on JG cells by drop in blood pressure triggers release of renin. Vasoconstriction and sodium retention increase blood pressure.

Sympathetic NS stimulates renin release

Tubular Reabsorption

Proximal convoluted tubule

Loop of Henle

Distal convoluted tubule

Collecting ducts

Tubular Secretion.

Urine is concentrated by Countercurrent Multiplier System

Countercurrent Mechanism Tutorial with Animations: A Must See!!!

Other Examples of Countercurrents in Physiology

Arrangement of loops of Henle creates an osmotic gradient

Urine produced can be hypo- or hyperosmotic. Osmolarity of plasma 300-330 mOsm. Seawater is about 1000-1500 mOsm. This is about as concentrated as we can make our urine.

Other animals:

Aldosterone and antidiuretic hormone regulate volume of urine.

Physiology of Urinary System Online Quiz


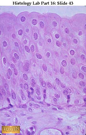
Ureter: tube that transports urine from kidney to bladder

Ureter Histology: X-section ; Another Image

Double Ureters

 

Bladder

Internal folds are called "rugae" (hey, that sounds familiar!). Allows for expansion.

Lining: transitional epithelium (collapsed bladder)

Transitional Epithelium: expanded bladder.

The Bladder: Gray's Anatomy

Urethra

    1. Prostatic
    2. Membranous
    3. Penile (spongy)

Male Bladder and urethra graphic

Female Bladder and urethra graphic.


 

Urination (micturition): Emptying of urinary bladder.

Micturition Reflex is a "stretch reflex" that is mediated by the parasympathetic NS.

Internal sphincter (smooth muscle, involuntary control); external sphincter (skeletal muscle, voluntary control)

Graphic Normal

Artificial Urinary Sphincter

Incontinence: inability to control urination

Who has more of a problem with incontinence, men or women?


Review Questions for Exam

Online Exam: Overview of Urinary System

Online Exam: The Nephron


Lab Links

Online Practice Exam: Identification


 

Misc. Links

Urinary Tract Histology (LUMEN)

Renal Anatomy & Physiology Lecture Slides (Nursing Course)

Physiology Lecture Summaries: 4 lectures related to Urinary Physiolgy

Renal Pathology

Renal Cyst: fluid accumulation under the capsule.

Renal Physiology Outline: Nice step-by-step outline of transport and countercurrent system.

The Nephron Info Center: Good, general info on the kidney and kidney disease. Neat animations.

Kidney Stone

Kidney Stones: Causes and Treatments

UCLA Kidney Stone Treatment Center

More on Kidney Stones

Animation of movement of Kidney Stone

Ureterorenoscopy and Lithotripsy

Urinary Tract Infections

Pathology of Kidney: check out Chapter 16

Steak and Kidney Pie: Is English Cuisine an Oxymoron?

Web Anatomy: Urinary System Home Page for online anatomy quizzes.

Development:

Urinalysis Tutorial

Mathematical Model of Kidney

Case History: Ectopic ureter